Call us on
Ireland Toll Free: +353-1-800-817-333 (From landline only)
UK Toll Free: +44-0-808-258-0095
or request a call back:
Free First Consulting.
Book Now!
Ireland Toll Free (From landline only): +353-1-800-817-333
UK Toll Free: +44-0-808-258-0095
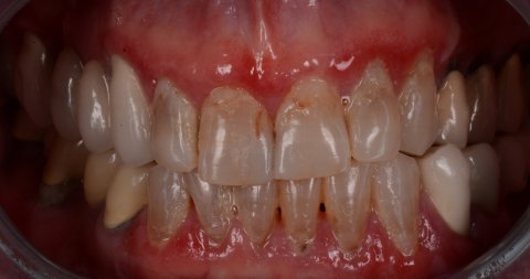
Smile makeover is an umbrella term used for dental treatments improving the appearance of the smile. Such a hollistic approach may consist of cosmetic dentistry procedures, such as dental veneers, composite bonding, tooth implants and teeth whitening.
As a result of a smile makeover package you can forget anxiety when you make a selfie.
Feel free to smile again!






Do you like what you see?
What is a Smile Makeover?
A Smile Makeover uses one or more dental procedures to enhance the appearance of your smile. A Smile Makeover will factor in numerous aspects of your appearance, including skin tone, hair colour and lip shape, along with the shade, shape and condition of your teeth, to create and perfect your ideal smile.
What does a Smile Makeover Involve?
A complete overhaul of your smile may involve a number of techniques, depending on your individual circumstances and treatment objectives.
During your free, no obligation initial consultation, your dentist will discuss what you like and dislike about your smile in order to create a truly customized, holistic treatment plan.
No two smiles are the same, and neither are two Smile Makeovers. However, some of the more common problems addressed by a Smile Makeover include:
Tooth Colour
Existing silver or amalgam restorations (filings, crowns, etc) can be replaced with composite, zirconium or porcelain alternatives that perfectly match the natural colour of your teeth.
Professional tooth whitening can be used to improve the appearance of mild to moderately discolored or dull looking teeth. At our clinic, we use the Opalescence system, a market leader in teeth whitening for 25 years, for inner teeth and the Beyond system for the tooth surface. If teeth are too severely stained to be improved by tooth whitening, veneers may be recommended instead.
Before proceeding with tooth whitening, your dentist will consider your skin tone and hair colour to decide on the perfect and most natural looking tooth shade for you.
Alignment and spacing
In the case of crooked, overlapping or gappy teeth, veneers can be used with great success. If necessary, orthodontics may also be used to straighten and correct problematic areas.
Missing teeth
Having missing teeth can not only affect the appearance of your smile, it can also negatively impact on your bite and overall oral health. Depending on your needs and budget, dental implants, bridges or partial dentures may be recommended as replacements to the missing teeth.
General Harmony
If the balance of your smile is suffering as a result of uneven, chipped or cracked teeth, composite bonding may be the ideal solution. In other cases, a more harmonious effect can be achieved by re-contouring the teeth with enamel Microabrasion. With both methods, a minimal amount of work can result in a major difference to your smile.
If your personal bugbear is a gummy smile, huge improvements can be affected via a simple gum lift.
Fuller lips, Smile and Cheeks
As we age, the shape of our face can change. If you’re unhappy with these changes, a more youthful appearance can be restored with orthodontics and/or oral maxillofacial surgery.
What makes a Smile Makeover different from other treatments?
A Smile Makeover subverts the idea of a “one size fits all” treatment by providing a truly holistic approach to dentistry. From the initial consultation onwards, your dentist will work closely with you to devise the perfect blend of functional and aesthetic treatments to transform your smile. A Smile Makeover doesn’t simply correct a problem in the way of most treatments; it provides a smile that’s harmonious, balanced and unique to both your face and your personality.
How much will a Smile Makeover Cost?
A Smile Makeover can consist of any number and any variety of treatments. The total cost of treatment will therefore depend on your particular treatment plan. An estimate can be provided in advance of the consultation if you already have a good idea of your objectives and treatment needs (but bear in mind this may change depending on the findings and recommendations of your dentist). For now, a list of our prices can be found here.
Who should perform my Smile Makeover?
If you want to…
Enjoy a dental holiday with one of our great, all-inclusive packages.
*beyond 4000 EUR/ 3500 GBP treatment
Contact Us Now on Phone or via Form |
© 2017 Budapest Dental Care Clinic | All rights reserved
