Call us on
Ireland Toll Free: +353-1-800-817-333 (From landline only)
UK Toll Free: +44-0-808-258-0095
or request a call back:
Free First Consulting.
Book Now!
Ireland Toll Free (From landline only): +353-1-800-817-333
UK Toll Free: +44-0-808-258-0095
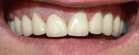
Bridge is when at least two and maximum 14 replaced teeth are connected. It may be fitted in various ways, depending on how many original teeth can be saved or how many should be taken out. Such tooth replacements may be made of different materials. We prefer modern solutions such as metal-free zirconium oxyd or press ceramic, however, in some cases it is justified to use cobalt chrome or gold as material. A bridge may be fitted onto original teeth or on implants. In case of implants there are two ways to fix the bridge, one is adhesive, the other is with a screw. We usually recommend the solution with a screw as a better solution for patients (may be released, mended, or taken out if needed). Dental bridge helps you to have a great smile, and gives your ability to chew properly.


Do you like what you see?
What is a Dental Bridge?
A dental bridge is a type of fixed prosthesis that quite literally bridges the gap left by one or more missing teeth. A dental bridge allows missing teeth to be replaced by permanently joining an artificial tooth or teeth (the pontic) to adjacent (abutment) teeth, crowns or implants.
What are the Benefits of a Dental Bridge?
A dental bridge can:
What Types of Dental Bridges are Available?
During your initial consultation, your dentist will assess which type of bridge best suits your needs, and discuss the suitable options with you. Until then, here’s a breakdown of the types of bridges available.
A Dental Bridge can come in one of four types:-
1) The Traditional Bridge
The Traditional Bridge is perhaps the most common form of bridge. A Traditional Bridge involves the “crowning “of teeth directly adjacent to a missing tooth. The crowns are connected by, and act as a support to, the false tooth used to fill the space left by the missing tooth. Traditional Bridges can be made of either porcelain fused to metal or ceramics.
2) The Maryland Bridge
An alternative to the more common type of Traditional Bridge is the Maryland Bridge. Unlike the Traditional Bridge, which requires abutment teeth to be crowned, the Maryland Bridge connects an artificial tooth to the adjacent teeth via a metal or porcelain framework. The framework consists of wings that are bonded to the back of the natural teeth on either side of the missing tooth. The strength of the bridge is limited, making it unsuitable for areas of the mouth where the teeth are subjected to biting force (e.g. the molars). However, as the abutment teeth do not need to be crowned, this type of bridge does offer the advantage of allowing the integrity of the natural teeth to be preserved.
3) The Cantilever Bridge
A Cantilever Bridge is similar to a Traditional Bridge, but in this instance, the false tooth is supported by a crown on only one side. While this does not have the same degree of stability as a bridge supported on both sides, it does have the advantage of allowing patients who have natural teeth on only one side of a missing tooth to still enjoy the benefits of a bridge.
4) The Implant-supported Bridge
An implant-supported bridge is similar to a Traditional Bridge. However, rather than being supported by crowns or a metal framework, this type of bridge is supported by dental implants. Typically, one implant is not placed for each missing tooth, but a series of implants can be then used to hold a bridge of connected crowns in place. Such a bridge may consist of a false tooth suspended between two implant supported crowns.
What’s the Process for Getting a Dental Bridge?
A dental bridge will usually require at least two visits to the dentist, each lasting about an hour to an hour and a half.
Step 1 –the No Obligation, Free of Charge Consultation
During your Initial Consultation, your dentist will assess the condition of your mouth to ensure you are a suitable candidate for a dental bridge. This may involve taking x-rays, and CT scans. Next, you will have the opportunity to discuss your personal treatment plan, and voice any preference you may have regarding material choice, treatment times, etc. Once you are happy with the plan, arrangements can be made to start treatment.
Step 2- the Preparation
The first step in fitting the bridge involves the preparation of the abutment teeth. A portion of the tooth is filled to allow space for a crown to be fitted. Next, impressions of the tooth are taken. These are then sent to our in-house lab to serve as the model from which the bridge, pontic and crowns will be crafted.
To protect the exposed teeth and gums, a temporary bridge may be fitted until the permanent restoration is ready.
Step 3- the Fitting
Once the permanent restoration is ready, your dentist will remove the temporary bridge. The new bridge will be tested, checked and adjusted to ensure a proper fit and bite. Once both you and your dentist are happy with the fit, the bridge is cemented permanently in place.
How Long will a Dental Bridge Last?
The expected life of a bridge can vary depending on the type of bridge used and how well the bridge is maintained. As a general rule of thumb, we expect a bridge to last for decades with good oral hygiene and regular check-ups).
What’s the Cost of a Dental Bridge?
Our Dental Bridges start at just £310/350 EUR (prices may vary depending on the type of bridge needed and your choice of materials). If you have additional requirements, the total price will depend on the treatment type needed.
Whatever your treatment needs or objectives, you can be confident that we offer excellent value for money –patients save an average of up to 70% on UK prices by choosing Budapest Dental Care Clinic as their treatment provider. Our full price list can be found here.
Bridge or Implant – Which is the Best Solution for Me?
If you have missing teeth, you may be wondering whether it would be better to have a bridge or implants. Your dentist will be able to talk through the best solution for you during your initial consultation, but for now, you can weigh up the options with the use of our handy guide:-
Implants may be the better choice if:
A bridge may be the better choice if:
Why Should I Choose Buapest Dental Care Clinic for my Treatment?
If you want to…
Book Your Free First Consultation Now!
*beyond 4000 EUR/ 3500 GBP treatment
Contact Us Now on Phone or via Form |
© 2017 Budapest Dental Care Clinic | All rights reserved
